Light energy technology primarily used for minimally invasive surgeries, elective procedures, and aesthetic treatments such as vision correction and cosmetic surgery. This revolutionary technology has now entered the field of dentistry, offering significant advantages over conventional methods. Before exploring laser-assisted orthodontics, it's important to understand what orthodontics entails and who is qualified to practice it.
Orthodontics is a dental specialty focused on straightening teeth. The term combines "ortho" (meaning straight) and "dontia" (meaning teeth). Only licensed dentists or orthodontic specialists are authorized to perform these treatments. Orthodontics addresses narrow jaws, crooked teeth, bite problems, impacted canines, severe crowding, and related issues.
Traditional orthodontic methods typically involve brackets or "braces" bonded to tooth enamel, combined with elastics to apply controlled pressure to teeth. This treatment serves not only aesthetic purposes but also medical and functional ones.
Dr. Ariel Savion has been an active dentist since 2007 and holds a dual Master’s degree from Germany in Laser Sciences and Dental Implantology. He has clinical expertise in laser periodontal therapy, microscopic surgery, and dental implant procedures.
He serves as the Medical Director of the dental corporation Savion Medical Center Ltd. and is the founder and owner of the prestigious master_implant educational club, dedicated to training dentists in advanced fields of dentistry.
In addition, Dr. Savion is the only certified instructor in Israel on behalf of the World Clinical Laser Institute in the field of laser dentistry.
Dr. Savion is an international researcher and lecturer and serves as a Key Opinion Leader (KOL) for leading medical companies in Israel and worldwide, specializing in laser dentistry, periodontology, and dental implantology.
Why Straighten Teeth?
The benefits:
- Improved Speech and Pronunciation – Crooked or irregularly positioned teeth can cause pronunciation difficulties and speech problems. Orthodontic treatment creates proper tooth alignment, enabling clearer and more natural speech.
- Enhanced Gum Health – Crooked teeth or inadequate interdental spaces create limited accessibility for routine cleaning. Over time, bacterial plaque accumulation and inflammation lead to gum recession, pocket formation, and even tooth loss. Proper alignment helps maintain healthy gums with normal appearance and color while preventing future tooth loss.
- Prevention of Tooth Wear and Damage – Patients with crooked teeth often experience excessive wear that damages healthy tooth structure. Laser orthodontics corrects misalignment and prevents accelerated wear and deterioration.
- Improved Aesthetics and Chewing Function – Orthodontic treatment provides patients with beautiful aesthetics and a more radiant, perfect smile. The alignment typically improves chewing ability and reduces food particle accumulation between teeth. Post-treatment maintenance becomes easier through proper brushing and flossing, resulting in less tartar buildup.
What Is Laser Orthodontic Treatment?
Laser orthodontic technology represents a breakthrough in teeth straightening (combined with clear aligners without brackets bonded to tooth enamel). Light energy technology enables the following treatments:
- Periodontal Disease Treatment – Many patients are refused orthodontic treatment due to gum disease, with some unnecessarily losing teeth. This groundbreaking technology allows for gum disease treatment concurrent with orthodontics.
- Light Energy Treatment to Accelerate Tooth Movement – Cold laser treatment can accelerate tooth movement and reduce pain levels during orthodontic treatment. The procedure is safe and painless.
- Laser Treatment for Impacted Canine Exposure – Light energy efficiently and simply exposes impacted canines with rapid recovery. Significant laser advantages over scalpels include: faster healing, substantial pain reduction, quick and safe procedures, and no need for sutures.
- Laser Treatment During Orthodontics – Excess soft tissue can be removed without incisions or sutures, improving aesthetics and oral hygiene.
- Post-Orthodontic Laser Treatment – Light energy enables teeth whitening after orthodontic completion. Protecting enamel (tooth glaze) is crucial, this transparent material gives teeth their white, shiny appearance. Many patients seek aesthetic solutions after bracket removal, as enamel is polished along with adhesive residue, resulting in yellow, dull teeth.
Orthodontics and straightening teeth methods
Laser Orthodontics (by Certified Laser Dentist)
Lasers serve as orthodontic aids, used with brackets or aligners to accelerate teeth straightening, achieving faster results than conventional treatment.
Advantages – Significant acceleration of the straightening process, reduced discomfort and pain compared to traditional methods, fewer follow-up appointments required.
Disadvantages – Risk of burns or local irritation if the orthodontist lacks laser treatment expertise.
Metal Brackets ("Braces")
This established method uses metal brackets with metal wires and elastics. Treatment duration ranges from two to three years, depending on tooth shape, growth pattern, and individual patient response.
Advantages – Cost-effective treatment, well-established and familiar method.
Disadvantages – Relatively high discomfort level, sometimes painful process, brackets are highly visible.
Lingual Braces (Behind-the-Teeth Orthodontics)
The orthodontic appliance attaches to the back (hidden) surface of teeth. Treatment duration is similar to traditional metal brackets.
Advantages – Invisible orthodontics.
Disadvantages – Some patients report significant discomfort, more expensive than regular brackets, complex maintenance.
Invisalign Method
Teeth straightening uses clear aligners (transparent trays). Custom-made trays fit over teeth and are replaced throughout treatment as teeth straighten. The goal: achieving accurate yet faster results. Treatment duration ranges from six months to one year, occasionally longer.
Advantages – Enables optimal, efficient tooth cleaning during straightening. Nearly invisible trays (very difficult to detect). Relatively fast process.
Disadvantages – Not inexpensive. Not suitable for all patients (depends on tooth condition and misalignment severity).
Damon System Orthodontics
This method uses unique brackets with a self-locking mechanism. Titanium wire connects brackets without elastics, enabling relatively fast straightening. Brackets apply less pressure on teeth and bone, improving comfort and eliminating pain. Treatment duration up to one year.
Advantages – Much faster than regular brackets, can use clear brackets, fewer monitoring appointments required, painless treatment, easier bracket cleaning and tooth brushing.
Disadvantages – Higher cost than regular metal brackets.
Types of Lasers in Dentistry
Several laser types can be classified by laser range or emission characteristics.
Laser Types by Medium or Pumping Mechanism:
- Gas Lasers – Various gases can produce inversion when ionized. This family includes lasers capable of very high output power, such as carbon dioxide and carbon monoxide lasers, used in welding systems and anti-missile systems.
- Crystal Lasers – The first demonstrated laser was a "Ruby laser." Crystal atoms can be elevated to excited states using flash lamps focused into the crystal. This visible red laser has low efficiency.
- Semiconductor or Diode Lasers – Passing current through a semiconductor diode creates inversion at the junction area. Different materials produce different frequencies. Diode lasers are inexpensive to manufacture, highly efficient (over 95% for basic types), produce low output power and beam quality. Found in all CD players, laser pointers, etc.
- Fiber Lasers – The entire resonator is contained within an optical fiber. The rear mirror is implemented using a Bragg grating, and the front mirror is typically implemented by cutting the fiber at 90 degrees, causing 4% of light to reflect back into the fiber. Fiber laser advantages include stability, simplicity, and very high efficiency. Recent reports describe fiber lasers exceeding 5,000 watts. Fiber lasers are typically pumped using semiconductor lasers.
- Dye Lasers – The medium is an organic compound, allowing wavelength tuning (unlike previous lasers with fixed wavelengths dictated by the medium material).
- Free Electron Lasers – Facilities that accelerate electrons in environments with varying magnetic fields, creating radiation with tunable wavelengths from microwave through visible to X-ray ranges. Only a limited number of such facilities exist worldwide.
- Solar-Pumped Lasers – Crystal or gas lasers optically pumped by concentrated solar radiation.
Laser Types by Emission Pattern:
- Continuous Wave (CW) Lasers – Emit light continuously at a fixed wavelength.
- Pulsed Lasers – Emit light in pulses.
Common Lasers in Dentistry
Diode family lasers (800-1100 nanometers) are located in the near-infrared region of the electromagnetic spectrum and serve exclusively for soft tissue treatment (gums, skin, fibromas). Erbium family lasers are located in the mid-infrared region and treat both soft and hard tissue
(bone, tooth, caries, gums, roots).
Additionally, gas-produced lasers (CO2) are well-absorbed by water and hydroxyapatite (enamel), located far from the infrared region in the electromagnetic spectrum, and treat both hard and soft tissue.
Laser Dentistry – The Future of Gentle & Precise Dental Care:
How Long Does Laser Orthodontic Treatment Take?
As with regular orthodontic treatments, unpredictable factors affect final completion time. However, comparing regular brackets to laser orthodontics shows an accelerated process while maintaining high-quality results.
Generally, process reduction can be measured in several months or even a year or more. Consult with Dr. Ariel Savion for a personal examination and comprehensive, accurate information.
Advantages of Laser Orthodontic Technology
Laser-assisted orthodontics offers various patient benefits:
- High Precision – Laser beams can be directed with optimal accuracy.
- Improved Speed – The teeth straightening process is shortened.
- Enhanced Comfort – Pain reduction and improved comfort, as fewer monitoring and control appointments are typically required.
- Excellent Results – When the process is trusted to an experienced dentist or orthodontist with training and certification in dental laser treatments.
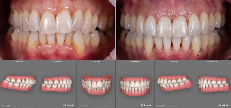
Look at this amazing transformation: From Gum Problems to a Perfect Smile
Is Laser Orthodontics Safe?
Laser orthodontics is considered a safe medical procedure, given several cumulative conditions:
- Verify that the dentist has laser certification and advocates advanced technology orthodontics (clear aligners).
- Request information about orthodontic training and treatment methods. Ask to see a portfolio of treated patients and even request testimonials.
- Check in advance what medical equipment is available at the dentist's clinic. Note that there are many types of lasers for various procedures.
- Request client recommendations or "before" and "after" photos of patients who underwent laser orthodontics.
- Choose a thorough dentist who performs comprehensive diagnostic examinations, involves patients in the process, and explains the entire treatment including implications.
- Prefer a dentist who advocates a conservative, minimally invasive approach, aiming to preserve teeth rather than extract them. Using clear aligners and light energy treatment certainly indicates a conservative treatment approach.
Potential Complications and Risks of Laser Orthodontics
As with any medical procedure, laser orthodontics may involve complications and risks (when performed by an uncertified dentist):
- Local Burns – Laser beams may reach high temperatures. Execution errors can cause burns.
- Infection – Laser technique enables high sterilization levels. However, inexpert treatment may cause local infection.
- Local Sensitivity – In most cases, laser treatments reduce local sensitivity in the treated area. However, patients may still experience post-treatment sensitivity.
Laser Orthodontics - Frequently Asked Questions
Yes, dental laser use is generally considered safe for patients when performed by licensed dentists who received appropriate laser dentistry training. Dental lasers are designed to focus on specific oral areas and are very precise, minimizing surrounding tissue damage risk.
Additionally, many dental lasers are equipped with safety measures designed to prevent accidental laser beam exposure. Some lasers have sensors detecting when laser beams approach sensitive areas, automatically adjusting power levels to minimize injury risk.
As medical procedure, some risks are associated with dental laser use, such as tissue damage risk if lasers aren't used correctly. However, these risks are generally low when procedures are performed by skilled, experienced dentists following appropriate safety protocols.
Most laser treatments performed at a certified laser dentist's clinic can be completed without any need for anesthesia. However, some treatments may prompt the doctor to recommend local anesthesia to reduce discomfort.
As described earlier, there are many teeth straightening methods, including traditional and established treatments, laser-combined treatments, clear brackets, and more. Generally, advanced treatment methods are more predictable, faster, and less painful.
Note that any medical treatment may involve individual discomfort levels, with significant differences in patient pain tolerance thresholds. Before treatment, discuss with your dentist/orthodontist who will explain more based on their experience after examining tooth and jaw structure, while establishing a personalized treatment plan.
Laser orthodontic treatments (as well as clear bracket or Damon system treatments) can suit a wide age range. Teeth straightening can be successfully completed at mature and older ages.
High precision laser technology enables treatment completion with minimal discomfort, while brackets or trays remain hidden and nearly invisible. Note: Contact an experienced dentist/orthodontist with extensive experience in adult orthodontic treatments.
There is no fundamental contraindication to undergoing orthodontics during pregnancy. However, consider that pregnancy sometimes involves hormonal and other changes causing temporary effects on pain threshold, discomfort, and sensitivity.
To make the appropriate decision, consult with your chosen orthodontist and inform them in advance about your considerations and pregnancy. This ensures the optimal decision.









