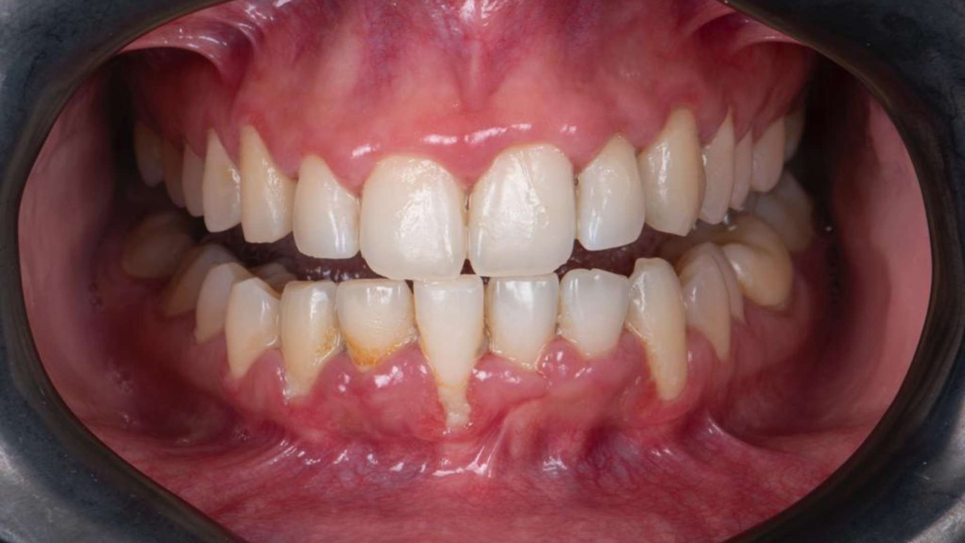
Gum Recession Treatment Without Surgery: Minimally Invasive, Laser-Based Solutions for Periodontal Disease Read more »