Periodontal disease affects millions worldwide, representing a significant health challenge that demands specialized, personalized treatment by qualified experts. Periodontitis is a chronic infectious condition that primarily damages the supporting structures of teeth, threatening both oral function and overall systemic health.
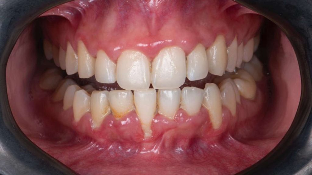
Many cases of periodontal disease progress silently without pain, yet visible signs include localized swelling, gingival redness, bleeding, increasing spaces between teeth, tooth mobility, and frequently, persistent halitosis.
Periodontal disease compromises both functional capacity and aesthetic appearance. If you notice gingival bleeding, particularly during routine oral hygiene procedures, it's crucial to schedule an appointment with a specialized periodontal practice immediately. Without intervention, the condition can progress to irreversible damage, potentially resulting in tooth loss.
Dr. Ariel Savion has been an active dentist since 2007 and holds a dual Master’s degree from Germany in Laser Sciences and Dental Implantology. He has clinical expertise in laser periodontal therapy, microscopic surgery, and dental implant procedures.
He serves as the Medical Director of the dental corporation Savion Medical Center Ltd. and is the founder and owner of the prestigious master_implant educational club, dedicated to training dentists in advanced fields of dentistry.
In addition, Dr. Savion is the only certified instructor in Israel on behalf of the World Clinical Laser Institute in the field of laser dentistry.
Dr. Savion is an international researcher and lecturer and serves as a Key Opinion Leader (KOL) for leading medical companies in Israel and worldwide, specializing in laser dentistry, periodontology, and dental implantology.
The Pathophysiology of Periodontal Disease
The primary etiology of periodontal disease involves pathogenic bacteria residing in the biofilm that accumulates on tooth surfaces. These bacteria release endotoxins that trigger inflammatory responses, causing gingival detachment from teeth and formation of deep periodontal pockets. As these pockets deepen, they harbor increasingly aggressive bacterial populations, leading to progressive and severe damage over time.
Dr. Ariel Savion, founder of Savion Medical Center and a leading specialist in implantology and microscopic laser treatment of periodontal diseases, explains that in healthy conditions, the supporting bone structure is positioned approximately 2mm from the enamel border of the tooth crown.
Periodontal inflammation causes recession of the supporting bone structure, creating irregular tooth contours and visible osseous defects. As inflammation intensifies, teeth lose their anchorage, and without professional intervention, progressive mobility leads to eventual tooth loss.
The Battle to Preserve Natural Dentition
Dr. Savion champions the contemporary dental philosophy of tooth preservation rather than immediate extraction. According to his approach, modern advanced dentistry fights to save natural teeth because this significantly improves implant integration success rates while providing a healthier and more cost-effective solution.
Many patients suffering from severe periodontal disease eventually lose their teeth, and while dental implants can replace missing teeth, untreated periodontal disease compromises implant integration. Consequently, implant procedures may fail, resulting in financial loss for patients.
It's important to understand that individuals with periodontal disease face increased cardiovascular risks, with three times higher probability of stroke, and elevated risks for oral cancer and osteoporosis. Pregnant women with periodontal disease may experience preterm delivery and low birth weight infants.
Therefore, periodontal treatment is essential not only for aesthetic reasons but primarily for maintaining overall systemic health. Recent research has demonstrated that timely periodontal treatment also assists in diabetes management.
Comprehensive Diagnosis and Personalized Treatment Planning
The primary symptom of periodontal disease is bleeding, typically accompanied by gingival swelling and erythema. Patients experiencing these symptoms should immediately consult a periodontal specialist. The specialist will professionally assess disease severity and determine the most appropriate treatment methodology.
Recognizing Acute Periodontal Inflammation
Acute periodontal inflammation presents with distinct inflammatory signs around the gingival tissues surrounding teeth: extensive erythema, swelling, purulent discharge, spontaneous bleeding, tooth mobility, and occasionally pain. Interestingly, pain is not typically a prominent feature of periodontal inflammation.
Advanced Treatment Protocols for Periodontal Disease
Periodontal disease treatment typically employs three distinct methodologies:
- Preventive Intervention – The optimal approach to periodontal disease is prevention through proper oral hygiene maintenance and regular professional cleanings every 3-6 months for calculus removal.
- Root Planing and Scaling – This conservative treatment under local anesthesia aims to reduce periodontal pocket depth through deep calculus removal. Laser-assisted treatment with microscopic visualization is recommended for optimal results while minimizing patient discomfort.
- Emdogain Regenerative Therapy – In cases of severe periodontal disease where inflammation has caused bone destruction, treatment completion using the revolutionary biomaterial Emdogain is essential. This therapy regenerates damaged bone structure, enabling long-term tooth preservation while avoiding complex and expensive procedures.
Clinical Efficacy of Laser-Assisted Emdogain Therapy
The non-surgical approach involves biofilm removal and root surface debridement performed under microscopic visualization, effective when inflammation is detected in early stages. Advanced disease requires surgical intervention using microscopic techniques for plaque removal from root surfaces, followed by natural tissue regeneration.
Based on disease severity, specialists may incorporate Emdogain treatment. This biomaterial contains amelogenin protein, which facilitates PDL fiber formation and osteoblast development around teeth. The material promotes rapid, natural healing without adverse effects or rejection risks, as the protein is naturally secreted in the human body during tooth development stages.
Dr. Savion's Expertise in Minimally Invasive Periodontal Surgery
Dr. Ariel Savion holds a Master's degree in Laser Sciences in Dentistry from Aachen University, Germany. With extensive experience in laser periodontal treatment and as a certified international dental implant specialist, he leads forums on periodontal diseases and lectures internationally on advanced dentistry combining laser and microscopic technology in minimally invasive surgical approaches. These techniques ensure predictable results while reducing pain and complications.









