Porcelain veneers are thin dental restorations classified as elective treatments, applied to cover a tooth in order to correct aesthetic imperfections or to protect it from damage.
Today, two main types:
- indirect restorations monolithic porcelain restorations with staining and/or feldspathic porcelain layering
- Direct composite resin restorations performed chairside
Dr. Ariel Savion has been an active dentist since 2007 and holds a dual Master’s degree from Germany in Laser Sciences and Dental Implantology. He has clinical expertise in laser periodontal therapy, microscopic surgery, and dental implant procedures.
He serves as the Medical Director of the dental corporation Savion Medical Center Ltd. and is the founder and owner of the prestigious master_implant educational club, dedicated to training dentists in advanced fields of dentistry.
In addition, Dr. Savion is the only certified instructor in Israel on behalf of the World Clinical Laser Institute in the field of laser dentistry.
Dr. Savion is an international researcher and lecturer and serves as a Key Opinion Leader (KOL) for leading medical companies in Israel and worldwide, specializing in laser dentistry, periodontology, and dental implantology.
The Rise of Porcelain Veneers
Porcelain veneers have been in use for over three decades. Designed purely to enhance aesthetics, they are placed over the tooth following a minimally invasive preparation that removes between 0.3 and 1 mm of tooth structure, and in some cases, no tooth structure at all.
The veneer is then bonded over the enamel layer to create a strong adhesion and prevent detachment. Their popularity has grown significantly in recent years, driven by patient demand for a natural, aesthetically pleasing smile, and by advances in materials and digital technology that have increased both the quality and biocompatibility of these restorations.
That said, indirect restorations are bonded using a composite cement that joins the veneer to the enamel. This makes veneer removal a far more complex and time-consuming procedure compared to removing a zirconia or metal-based crown.
Why Conventional Veneer Removal Falls Short? In the conventional approach, porcelain veneers are removed using a diamond bur and a powered handpiece (turbine), which requires grinding down the entire veneer. This method carries a significant risk of damaging healthy enamel, largely because there is poor contrast between the tooth, the cement, and the restoration. The procedure is also time-consuming, particularly when removing eight to ten veneers in a single appointment.
It is worth noting that the priority and approach to removal vary depending on the clinical reason. In cases such as tooth fracture, secondary decay, or gum recession, the veneer does not need to be removed in one piece.
However, when removal is prompted by incorrect bonding, an inappropriate cement selection, nerve sensitivity or inflammation, or staining of the veneer, preserving the veneer's integrity becomes critical.
Successfully removing the veneer intact saves the cost of fabricating a new one in the laboratory and significantly reduces chair time for both clinician and patient, and, unlike the conventional method, makes it possible to debond and re-cement the same veneer in a single visit.
What Is Laser Technology in Dentistry?
The guiding principle in modern dentistry is minimally invasive treatment, preserving healthy teeth, maintaining gum health, and avoiding unnecessary interventions. Laser technology in dentistry was developed precisely to serve this goal. By harnessing laser energy, clinicians can perform conservative treatments that save patients both time and cost.
A Brief Explanation of Laser
The word "laser" stands for Light Amplification by Stimulated Emission of Radiation. A laser is a device that emits amplified, concentrated, and focused light, as opposed to the diffuse light produced by an ordinary lamp. The light is amplified by the emission of non-ionizing radiation (meaning it does not cause health damage). Laser light is monochromatic (a single wavelength), coherent, and highly useful across many fields.
Removing Porcelain Veneers with Laser
Laser technology has recently been introduced as a more conservative and precise alternative for porcelain veneer removal. While it offers clear advantages over conventional methods, the effectiveness of laser removal is influenced by several variables: the chemical composition of the restoration, its type and thickness, the type and color of the cement and its opacity, as well as the laser parameters, including power, frequency, pulse duration, and irradiation time.
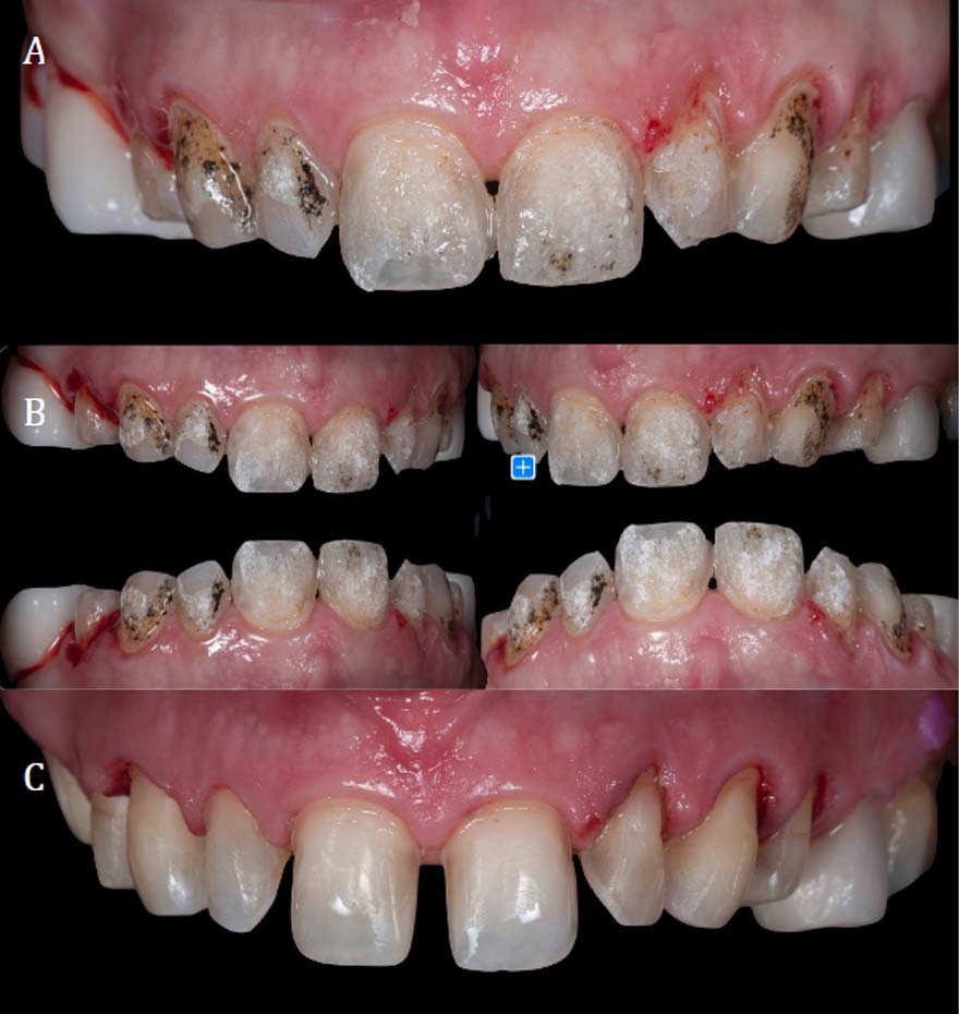
Clinical Case Presentation
A 55-year-old female patient was dissatisfied with the aesthetic outcome following the placement of eight porcelain veneers on her upper arch. Her primary concerns were the color and shape of the veneers. The veneers had been bonded at a thickness of 0.5 mm, with adhesive applied to the bucoccisal aspect. In this case, a decision was made to replace the restorations entirely, which meant that veneer integrity during removal was not a priority, in contrast to a scenario in which the existing veneer would be re-cemented, where preserving it intact would be essential.
Treatment Objective
The goal was to remove the indirect restorations using a minimally invasive approach, without damaging healthy enamel and while significantly reducing the time spent on the removal phase. Laser energy absorption in the cement manifests as a visible color change in the restoration due to the heating and energy uptake of the cement, which serves as a reliable clinical indicator during the procedure.
Laser Parameters Used
An Erbium Chromium YSGG laser with a wavelength of 2,780 nm was used. Erbium-family lasers operate in the near-infrared range and are well absorbed by water, with a penetration depth of up to 30 microns. The MZ8 tip (800 µm diameter) was used at a pulse duration of 60 microseconds (short pulse), at an average power of 5 watts, without water or air spray, at a frequency of 20 Hz.
Procedural Protocol
During the removal phase, protective laser safety glasses must be worn at all times. The tip is held parallel to the restoration at a distance of 2 mm, and the laser is moved in horizontal and vertical scanning motions. As the laser energy is absorbed by the cement, a visible color change in the restoration indicates successful energy uptake, a key indicator that debonding is progressing.
Laser vs. Powered Handpiece
Laser-assisted veneer removal represents a conservative and increasingly advanced alternative to conventional techniques. It does not damage healthy tooth structure, does not fracture the veneer, and allows the procedure to be performed with a truly minimally invasive approach.









