A beautiful smile is a genuine asset, it's the ultimate calling card. The stunning beauty of Hollywood stars is perfectly reflected in their flawless smiles, which is why "Hollywood smile" has become synonymous with the smile most of us desire.
The hallmark characteristics include perfectly aligned and proportioned teeth, a brilliant white appearance, and in short, a smile that flatters the face while maintaining perfect proportions.
It's worth noting that such a smile is no longer exclusive to actors born with natural gifts or reserved for the wealthy and famous of Hollywood. Through various advanced dental procedures, anyone can achieve a Hollywood smile in every sense of the term.
Dr. Ariel Savion has been an active dentist since 2007 and holds a dual Master’s degree from Germany in Laser Sciences and Dental Implantology. He has clinical expertise in laser periodontal therapy, microscopic surgery, and dental implant procedures.
He serves as the Medical Director of the dental corporation Savion Medical Center Ltd. and is the founder and owner of the prestigious master_implant educational club, dedicated to training dentists in advanced fields of dentistry.
In addition, Dr. Savion is the only certified instructor in Israel on behalf of the World Clinical Laser Institute in the field of laser dentistry.
Dr. Savion is an international researcher and lecturer and serves as a Key Opinion Leader (KOL) for leading medical companies in Israel and worldwide, specializing in laser dentistry, periodontology, and dental implantology.
table of contents
Pathways to Achieving Your Hollywood Smile
A beautiful smile results from multiple complementary factors working in harmony. Therefore, there's no single approach to achieving a Hollywood smile. The appropriate methods must be selected based on your desires, needs, and your dental and facial structure, even considering skin tone and personal expression style. Methods for achieving a Hollywood smile include:

Teeth Straightening
Orthodontic treatments create uniform, straight teeth rather than crooked or tilted ones. Alignment is achieved through visible braces or clear aligners using virtually invisible methods.

Teeth Whitening
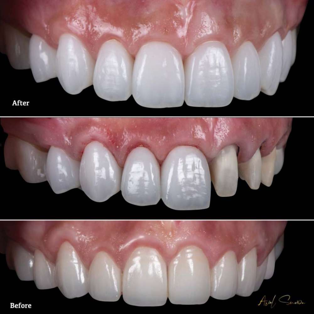
Veneers and Bonding – When the visible tooth surface isn't completely smooth, or when minor chips, cracks, or irregularities exist, gaps and imperfections can be filled by bonding porcelain veneers to the front of the teeth. Veneers can even create the appearance of larger or longer teeth for a uniform, flawless look, in short, a star-worthy Hollywood smile.

Veneers and Bonding
When the visible tooth surface isn't completely smooth, or when minor chips, cracks, or irregularities exist, gaps and imperfections can be filled by bonding porcelain veneers to the front of the teeth. Veneers can even create the appearance of larger or longer teeth for a uniform, flawless look, in short, a star-worthy Hollywood smile.

Dental Implants
When tooth extraction is necessary or when an existing tooth is diseased or lost due to gum disease, the smile can be restored through dental implantation. First, a durable implant, typically made of titanium, is inserted to replace the tooth root. After the area heals, a crown in the desired color, essentially a replacement tooth cap with a natural appearance, is integrated. This process can be performed using innovative laser-assisted techniques.
The Hollywood Smile Process Through Porcelain Veneers
As previously mentioned, porcelain veneers can enhance your smile and create a uniform, flawless appearance. When performed professionally, the process unfolds as follows:
- Professional Consultation – Provided by a dentist with expertise in both medical and aesthetic considerations. During consultation, patient needs are thoroughly assessed, often including an initial dental examination and comprehensive answers to patient questions.
- Comprehensive Examination – Before receiving a Hollywood smile based on porcelain veneers, thorough examinations are standard. These include close inspection, often combined with imaging or bite assessments.
- Tooth Enamel Preparation – To bond the thin porcelain veneer, a minimal layer of enamel must be removed from the front of the tooth. This space preparation can be performed using innovative, precise medical laser techniques.
- Dental Impressions – Patient impressions are taken to enable custom veneer fabrication precisely matched to bite and smile with maximum accuracy.
- Custom Veneer Manufacturing – Professional laboratories produce the porcelain veneers. Additional minor adjustments ("fine-tuning") are performed as needed for perfect precision.
- Veneer Bonding – The dentist bonds the porcelain veneers, accompanied by explanations regarding cleaning and maintaining oral hygiene as needed.
Advantages of Porcelain Veneers
Several significant advantages exist when choosing porcelain veneers to achieve a Hollywood smile:
- First and foremost, they deliver dramatic improvement in tooth appearance and smile aesthetics. Porcelain veneers provide precisely the desired color while completely covering imperfections, irregularities, gaps, and similar issues.
- Porcelain veneers appear completely natural. You can select the desired color and appropriate dimensions based on required proportions, skin tone, gum color, and other important aesthetic considerations.
- Compared to other aesthetic corrections, such as teeth straightening (which takes one to three years), this represents an extremely quick and efficient process.
- Porcelain is highly durable material that can last for many years while allowing normal oral hygiene maintenance.
- Unlike natural tooth surfaces susceptible to deposit accumulation and staining over years, porcelain is less prone to staining. In other words, after porcelain veneer placement, you receive a brilliant white Hollywood smile that maintains its optimal appearance for years!
Are There Disadvantages to Porcelain Veneers?
When considering porcelain veneers, it's important to understand both advantages and disadvantages:
- Cost – Consider the process expense, as it involves custom veneer fabrication.
- Tooth Surface Removal – Before bonding, part of the front natural tooth surface must be removed.
- Possible Sensitivity – Some patients may experience sensitivity to extremely cold or hot foods and beverages.
Comparing Different Types of Dental Veneers
| Porcelain Veneers | Composite Veneers | Resin Veneers | Zirconia Veneers |
| Exceptionally high durability | Made from the same material used for white fillings | Less durable compared to porcelain | Extremely durable |
| The most popular veneer type, Made from porcelain "sheets" half a millimeter thick | Less popular but more affordable solution than porcelain | May develop stains over time | Less popular than porcelain veneers |
| Durable solution for concealing imperfections and achieving desired uniform color | Less strong than porcelain, more prone to staining over time | More affordable but shorter-term solution | Very bright color, suitable for some but not all patients |
Savion Medical Center, Your Path to a Hollywood Smile
Want to achieve a perfect Hollywood smile? Only with Dr. Ariel Savion, with his credentials and extensive experience in the latest techniques at Savion Medical Center, will you benefit from diverse conservative and aesthetic treatments incorporating laser technology.
Alongside quality porcelain veneers, Dr. Savion's clinic offers laser teeth whitening with perfect results. With over 15 years of experience, the clinic also performs treatments under microscope for unprecedented precision (including porcelain veneers).
Additionally, we provide dental implant treatments and other customized aesthetic procedures: for example, cosmetic gum surgeries, smile design based on digital imaging, and more. Dr. Savion has training in dentistry, specialized laser treatment training, extensive implant treatment experience, and more, all from the world's leading dental schools. The results? They speak for themselves!
The Hollywood Smile - Frequently Asked Questions
How Will My Teeth Look After Treatment?
According to the vast majority of patient testimonials (both men and women), results contribute to high satisfaction levels. The new smile can definitely be called a Hollywood smile. Teeth appear white with a natural-looking color.
Stains are completely concealed. Unwanted gaps, rough or irregular surfaces disappear behind the porcelain. The smile appears highly aesthetic with uniform teeth and no impact on chewing ability, while tooth brushing remains as usual.
Is the Treatment Painful?
Porcelain veneer application is considered a minimally invasive procedure. Minimal enamel removal is performed with local anesthesia only as needed.
Sometimes mild local sensitivity to cold or hot beverages occurs after treatment, typically resolving quickly on its own. Notably, the treatment doesn't involve drills or other instruments used in root canal treatments or filling placements.
Is the Treatment Painful?
Porcelain veneer application is considered a minimally invasive procedure. Minimal enamel removal is performed with local anesthesia only as needed.
Sometimes mild local sensitivity to cold or hot beverages occurs after treatment, typically resolving quickly on its own. Notably, the treatment doesn't involve drills or other instruments used in root canal treatments or filling placements.
What Is the Recovery Time After The Treatment?
Bonding porcelain veneers is considered one of the simplest, fastest, and most effective procedures in modern dentistry. If the dentist performs local anesthesia, the effects wear off within hours.
If tooth sensitivity occurs, desensitizing products can be used, and within days, this sensitivity begins decreasing (typically disappearing shortly).
The dentist provides specific post-treatment instructions regarding chewing relatively hard foods in the initial days following treatment.
Within days, you can return to normal tooth brushing and all regular oral hygiene habits. The dentist provides additional instructions regarding follow-up appointments as needed.









